갑상선 초음파 검사를 통해 갑상선에 석회화된 결절이 나타날 수 있습니다. 뭐, 양성결절이라도 수술이 필요한지, 앞으로 갑상선암으로 발전하지 않을까 걱정되는 경우가 많습니다. 석회화된 갑상선 결절은 매우 흔한 질환으로 간주되며 그 중 약 5%만이 갑상선암일 수 있습니다. 모든 갑상선 결절이 갑상선암으로 발전하는 것은 아니지만 필요한 경우 정확한 검사를 위해 생검을 받는 것이 좋습니다. 갑상선암은 일반적으로 천천히 진행되며 좋은 예후를 보입니다. 오늘은 석회화된 갑상선결절이 갑상선암으로 발전하게 되는지 알아보도록 하겠습니다.갑상선 결절
![]()
갑상선 결절은 크기와 수가 다양한 덩어리(돌기)가 갑상선 세포의 과도한 증식으로 인해 갑상선 내에서 발생하는 장애입니다. 이는 성인의 약 4-7%에서 발생하고 나이가 들수록 발병률이 증가하는 전형적인 갑상선 질환에 해당합니다. 또한 여성이 남성보다 약 3~4배 더 많은 것으로 알려져 있습니다. 갑상선에 생기는 결절은 크게 양성과 악성으로 나뉘며, 대부분 크기가 변할 수 있는 양성 결절이지만 암으로 발전하는 경우는 드뭅니다. 그러나 갑상선결절의 약 5% 정도는 갑상선암일 가능성이 있는 악성결절이므로 정확한 진단이 필요합니다.석회화된 갑상선 결절의 증상
![]()
석회화는 유방에서 흔하지만 유방에만 국한된 것은 아닙니다. 세포나 조직에서 칼슘이 비정상적으로 성장하는 것을 석회라고 하며 갑상선 초음파에서 흩어지거나 덩어리진 흰색 점이나 선으로 나타납니다. 갑상선 질환은 종종 증상이 있지만, 다른 질환으로 쉽게 오인될 수 있는 석회화된 갑상선 결절도 마찬가지입니다. 석회화된 갑상선 결절을 포함하여 갑상선 질환을 의심해야 합니다. 따라서 이러한 증상이 나타난다면 빠른 시일 내에 갑상선 검사를 받아보시는 것이 좋습니다.석회화 갑상선 결절의 진단
![]()
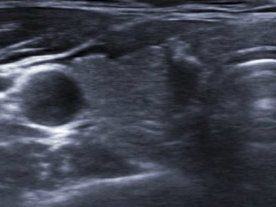
갑상선 석회화 결절의 진단은 갑상선 초음파로 결절의 위치, 개수, 모양, 크기, 내부, 비율, 경계 등을 자세히 관찰하는 것이다. 이로부터 이상이 발견되면 악성의 위험성을 예측할 수 있고 세침흡인세포검사를 시행할 수 있다. 동시에 정상적인 갑상선 기능을 확인하기 위해 혈액 검사를 실시합니다. 그러나 갑상선 초음파에서 갑상선에 석회화된 결절이 보인다고 해서 반드시 갑상선암으로 진행되는 것은 아닙니다. 첫째, 갑상선 결절의 크기가 5mm 이상인 경우 추가 생검이 필요합니다. 그러나 갑상선 석회화가 많이 진행된 경우에는 조직세포 채취에 어려움이 있을 수 있습니다.의정부갑상샘선 김수연유한의원
갑상선 초음파에서 발견된 모든 갑상선 결절이 외과적 제거가 필요한 것은 아닙니다. 갑상선암의 위험이 없는 양성결절이거나 크기가 불확실한 형태의 결절이라면 정기적인 건강관리와 함께 모니터링하면서 6개월 후 갑상선 초음파를 반복하면 진단이 가능하다. 의정부갑상샘한의원 김수연병원은 최고의 장비를 갖추고 있어 당일 검사 한번으로 빠르고 정확하게 진료가 가능합니다. 유방갑상선영상의학과 김수연 원장은 풍부한 경험을 바탕으로 정밀한 검사를 통해 갑상선 석회화 결절을 진단한다. 갑상선 결절이 의심되는 증상이 있으신 분들은 김수연 한의원에 내원하셔서 갑상선 검사를 받으시기 바랍니다.
김수연유한의원 경기도 구리시 경춘로 162

![]()
![]()
